치료전후사진

Total 34건 1 페이지
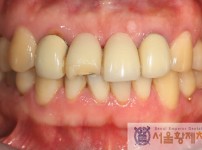
  • 34
    로그인 후 확인 가능합니다.
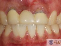
    치료전후이미지
    심미보철
    세렉을 이용한 라미네이트
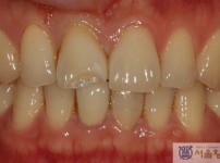
  • 33
    로그인 후 확인 가능합니다.
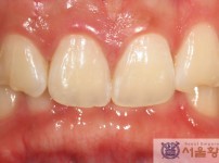
    치료전후이미지
    심미보철
    PFM을 이용한 심미보철
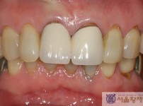
  • 32
    로그인 후 확인 가능합니다.
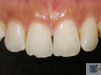
    치료전후이미지
    심미보철
    세렉을 이용한 라미네이트
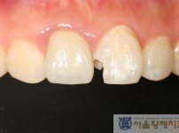
  • 31
    로그인 후 확인 가능합니다.
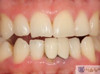
    치료전후이미지
    심미보철
    상악 전치부 심미보철
  • 30
    로그인 후 확인 가능합니다.
    치료전후이미지
    심미보철
    하악 전치부 심미보철
  • 29
    로그인 후 확인 가능합니다.
    치료전후이미지
    심미보철
    세렉을 이용한 라미네이트
  • 28
    로그인 후 확인 가능합니다.
    치료전후이미지
    심미보철
    PFM 크라운을 이용한 전치부 심미보철
  • 27
    로그인 후 확인 가능합니다.
    치료전후이미지
    심미보철
    6전치 심미보철
  • 26
    로그인 후 확인 가능합니다.
    치료전후이미지
    심미보철
    세렉을 이용한 전치부 심미보철
  • 25
    로그인 후 확인 가능합니다.
    치료전후이미지
    심미보철
    세렉을 이용한 라미네이트

검색

오시는길 의료진소개 황제갤러리
치료후기 전후사진 장비소개

간편 상담신청

치료과목
이름
전화번호
황제치과-찾아오시는-길-경기도-안양시-동안구-시민대로-214,305호 문의-및-상담-031-385-3372
서울황제치과

경기도 안양시 동안구 시민대로 214, 305호 | 전화번호 031-385-3372 | 사업자번호 392-01-01040 | 대표자 : 황재홍
2020 서울황제치과 All Right Reserved.

×
오시는길 온라인문의 의료진소개 진료안내 카카오톡챗봇상담 맨위로 이동