치료전후사진

Total 81건 9 페이지
  • 1
    로그인 후 확인 가능합니다.
    치료전후이미지
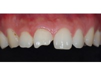
    심미보철
    치아 파절 케이스 전후 사례

검색

오시는길 의료진소개 황제갤러리
치료후기 전후사진 장비소개

간편 상담신청

치료과목
이름
전화번호
황제치과-찾아오시는-길-경기도-안양시-동안구-시민대로-214,305호 문의-및-상담-031-385-3372
서울황제치과

경기도 안양시 동안구 시민대로 214, 305호 | 전화번호 031-385-3372 | 사업자번호 392-01-01040 | 대표자 : 황재홍
2020 서울황제치과 All Right Reserved.

×
오시는길 온라인문의 의료진소개 진료안내 카카오톡챗봇상담 맨위로 이동